Any questions or would you like to order this product? Do not hesitate to contact us
Any questions or would you like to order this product? Do not hesitate to contact us
Filter the products and categories by showing only certain partners.
The Image-Guided Abdominal Biopsy Phantom is a simplified abdominal phantom. It’s suitable for training and demonstrating image-guided needle biopsy navigation tools or procedures that require a constant visual reference for needle placement. The phantom allows many uses over time because of the background gel minimizes needle tracks when punctured.
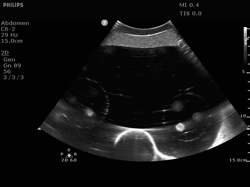
The phantom contains 12 lesions, 5-12 mm in diameter, positioned in groups of three in consistent locations within the phantom. It also includes simulated spine and ribs, and an “H” marker within the spine to assist in determining the head side within a CT-image. You can see the lesions and spine under ultrasound, CT and MRI. The solid polymer gel background is anechoic and will also not leak when it is punctured.
The phantom also includes a foam lined hard carry case and it’s useful in multiple fields. The phantom is perfect for CT, Ultrasound and MRI, live scanning and biopsy training.
If you want to read more about this phantom, take a look ar our partner’s website!
You can download the information on this page and the available downloads as one PDF file. There is one download available for this product.
Enter your email address once to gain access to all downloads on the PEO website.
There is one download available for this product.
Choose your cookie preferences. To provide the best experiences, we use cookies, among other things, to store and/or access device information. By consenting to these cookies we can process certain data on this site. If you do not give permission, this may have a negative effect on the operation.